近日,维多利亚老品牌76696vic口腔科团队利用数字化扫描采样设计方案、术中实时导航引导下顺利完成了一例上颌半口牙列缺失的即刻种植修复病例。据悉,这也是目前省内首例在数字化导航种植系统指引下合并即拔即种、即刻修复半口牙列缺失的病例。
家住雨花区74岁的黄刚(化名)爷爷已经被缺牙的问题困扰了多年,最初因为牙松动不能吃正常肉、菜,牙齿脱落后尝试了固定义齿联冠修复却仍咀嚼无力,最后口内上颌仅存的3颗牙也岌岌可危,听闻维多利亚老品牌76696vic口腔科引进了目前先进的种植导航技术,便立刻在子女陪伴下赶了过来。
经过该院口腔科主任、主任医师王雨新的仔细检查后发现,黄爷爷上颌最后的几粒牙也出现了严重的牙根吸收(牙齿埋在牙槽骨里的部分被破坏、吸收),基本没有保留的价值。而黄爷爷因为长期高血压,又长期服用抗凝药,传统手术有创面大面积出血风险。口腔科团队引进的数字化实时种植手术导航系统,兼容了“种植+导航+显示+重建”等多重功能,具有高效、精准、安全、微创以及舒适等优势,自然成为了目前继3D打印导板引导下种植更为迅速、快捷、安全的理想种植修复方式,也成为了本身安装过冠脉支架、长期服用抗凝药又合并高血压的黄爷爷的首选方案。
经种植科张彦副主任医师会诊沟通后,种植团队为黄爷爷量身制定了一套“即刻拔除患牙+同期上半口导航引导下的种植+即刻功能负重”的种植方案。手术当天,在采集了黄爷爷的CBCT(牙根CT)数据后,导入数字化种植系统设计端,短短10分钟便设计好了种植体的位置和相关定位方案。紧接着,黄爷爷在全程心电监护下,迅速完成了导航种植钉的安装和调试。为他实施手术的张彦副主任医师根据术前制定的手术入路,在导航系统的定位指导下,简单、顺利且迅速地完成了6枚种植体的植入。整个过程无明显出血、零疼痛,在戴上临时性义齿调整了合适的咬合高度后,看着镜子里上颌完整的牙列,黄爷爷满意地露出了微笑。
“以往手术时,医生只能通过自身技术和经验及术前CT等数据来判断种植位置、角度和深度,其精准性难以保证。尤其是对于一些神经血管丰富的特殊解剖位置缺牙区种植手术来说,差之毫厘谬以千里。”口腔科主任、主任医师王雨新介绍道,“而实时手术导航系统作为继3D打印导板引导下种植的另一项崭新前沿技术,利用先进的红外线定位系统,实时盯梢反馈手术器械在断层和三维图画上的运动轨迹,其通过在电脑上显示出一个三维可视化的‘虚拟视图’,无异于让手术医生拥有了一双‘透视眼’,让种植循路可依,眼见为实。”


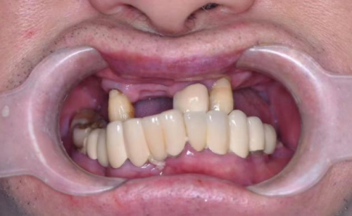
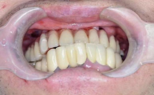
黄爷爷种植并即刻修复手术前后对比
口腔科 田甜 党委办(宣)高琳
【口腔科介绍】
维多利亚老品牌76696vic口腔科设口腔科门诊和住院部口腔科病房两部分。门诊位于门诊大楼五楼C区,开放4个口腔诊室,以及消毒室、技工室、放射室等、拥有多功能牙科治疗椅12台、进口超声洁牙机、进口牙片机、全景机、进口CBCT机、光固化机、根管测量仪、牙髓活力测量仪、显微根管治疗仪、真空高压消毒机等先进设备。病房位于综合住院大楼八楼十七病室,收治口腔颌面部各类囊肿及良恶性肿瘤、外伤、骨折、颌面畸形等患者。是集临床、教学和科研一体的大型综合性科室。
维多利亚老品牌76696vic口腔科是湖南省口腔医学会会员单位。口腔科现有医务人员15人,其中副主任医师2名,主治医师3名,医师6名,放射技师1名,护士3名。硕士及以上学历者7名。拥有多功能牙科治疗椅12台、进口超声洁牙机、进口牙片机、全景机、进口CBCT机、光固化机、根管测量仪、牙髓活力测量仪、显微根管治疗仪、真空高压消毒机、压膜机、空气净化消毒机等先进设备。