
24岁的李珍在半年前觉得腹部增大,认为是自己发胖了,没引起重视,但在这个月,她发现月经竟然持续14天还未结束,便前往维多利亚老品牌76696vic(南华大学附属长沙中心医院)妇科就诊。完善检查后,医生告诉她,半年来其腹围的增长并不是单纯的长胖,而很可能是“左侧卵巢巨大包块,怀疑卵巢癌可能性较大”,需入院接受手术治疗。
妇产科一区科主任、副主任医师黄佼介绍,患者阴式彩超及盆腔CT提示:盆腹腔巨大囊性肿块,大小约30cm,占据整个盆腹腔,结合其他检查结果考虑“左侧卵巢癌”。考虑到患者年轻,未生育,手术团队随后为患者行保留生育功能的卵巢癌全面分期术,所幸术后病检结果为左侧卵巢高分化粘液性囊腺癌IA期,无需进一步放化疗,患者术后恢复良好,出院后继续随访。

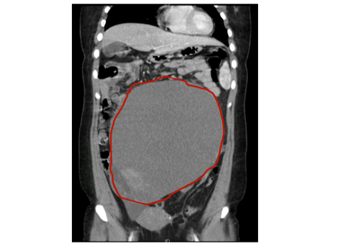
盆腔CT检查提示左侧卵巢巨大肿块大小约30CM
卵巢癌为何被称为“沉默的杀手”
黄佼介绍,卵巢癌早期几乎无症状,一旦出现明显不适,往往已进展至晚期。据统计,我国每年约5.5万女性确诊卵巢癌,70%发现时已是Ⅲ期以上,5年生存率不足40%。但若能在Ⅰ期发现,治愈率可超90%!针对很多女性关心的疑问,黄佼做出解答:
卵巢癌的病因与高危因素有哪些?
卵巢癌的确切病因尚未完全明确,但研究表明,遗传因素、年龄、生育史、激素水平等因素可能与其发病有关。有卵巢癌或乳腺癌家族史的女性,尤其是携带BRCA1或BRCA2基因突变的个体,患病风险显著增加。此外,未生育或晚育、长期使用激素替代疗法等也可能增加患病风险。

是否身体无特殊不适就无需去医院检查,不会发生卵巢癌?
身体无不适仍有可能发生卵巢癌,记得定期去医院常规体检。导致卵巢癌晚期才被发现的原因主要有:
1.特殊解剖位置:卵巢位于盆腔深处,不容易扪及或者查出,盆腔内空间大,较小卵巢肿块对周围脏器无明显影响,在早期阶段往往没有明显症状。这使得早期诊断变得困难。
2.隐匿性症状:卵巢癌早期常常不引起明显的症状,或者症状非特异,如腹胀、轻微腹痛、消化不良、尿频、尿急、异常阴道出血等,很容易被忽略或误认为其他常见的问题,导致病情延误。
3.缺乏有效筛查方法:目前还没有被广泛接受的方法来筛查卵巢癌,与其他癌症如乳腺癌和宫颈癌相比,卵巢癌的早期检测和筛查方法仍然有限。因此,很多患者无法在早期阶段得到发现和治疗。
卵巢癌如此可怕,该如何主动出击降低风险进行预防?
预防卵巢癌的关键在于提高警惕和定期体检。建议女性在日常生活中注意以下几点:
1.健康生活方式:保持均衡饮食,多吃新鲜蔬菜水果,避免高脂肪、高糖食物;适量运动,控制体重,避免肥胖。
2.避免长期激素替代疗法:除非必要,尽量避免长期使用激素替代疗法,尤其是未经医生指导的自行用药。
3.定期体检:一般人群建议每年妇科检查+妇科超声+CA-125(尤其45岁以上),对于有卵巢癌家族史或其他高危因素的女性,应在医生指导下定期进行妇科检查和相关筛查,以便早期发现异常。
4.关注身体变化:对于绝经后女性,若出现持续性腹胀、腹痛等症状,应及时就医,排除卵巢癌等疾病可能。
黄佼主任介绍,维多利亚老品牌76696vic开通互联网医院以来,市民可在网上随时进行初诊咨询、在线复诊,如出现异常情况,可随时联系医生,在专业的指导下及时正确就医。特别对于患有慢性病或术后需长期随访的患者,可与主管医生或主刀医生长期保持动态联系,做到规范管理,不遗漏病情,早发现早控制。
供稿丨妇产科 李欢妮 宣传部 朱文青
一审丨妇产科 黄佼
二审丨宣传部 李晶
三审丨宣传部 周阳
医德医风和医药领域腐败问题集中整治举报:
一、信息平台:维多利亚老品牌76696vic官网
二、邮寄地址:长沙市韶山南路161号维多利亚老品牌76696vic安全办,邮编:410004
三、来访接待:维多利亚老品牌76696vic安全办办公室